Planejamento para cirurgia robótica
Transforme DICOMs e vídeos em modelos 3D precisos com inteligência artificial. Compartilhe e discuta casos com colegas cirurgiões, e utilize a plataforma para educar seus pacientes sobre os procedimentos.
100%
Privacidade
AI
Powered
Rede
de cirurgiões urologistas
Carregando fluxo...
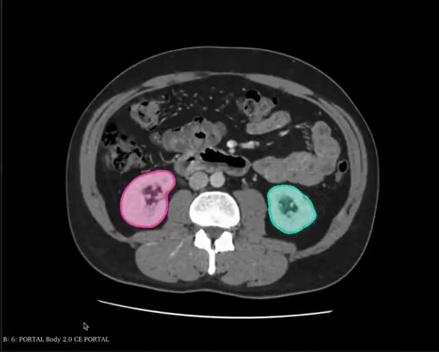
Segmentação automática com Inteligência Artificial
Nossa IA processa tomografias computadorizadas (CT) e ressonâncias magnéticas (MRI), identificando e segmentando automaticamente estruturas anatômicas como rins, tumores, vasos e órgãos.
DICOM e Vídeo
Suporte a arquivos DICOM de CT/MRI e vídeos de procedimentos cirúrgicos
Processamento Inteligente
Algoritmos de deep learning treinados em milhares de casos clínicos
Segmentação Precisa
Identificação automática de estruturas anatômicas camada por camada

Criado por especialistas
Uma equipe multidisciplinar unindo décadas de experiência em cirurgia robótica com tecnologia de ponta. URO3D é um produto da Synapse.

Dr. Carlos Watanabe
Cirurgião Urologista
Especialista em Cirurgia Robótica
Pioneiro em cirurgia robótica urológica no Brasil com vasta experiência em procedimentos minimamente invasivos.
Saiba mais
Dr. Rafael Buta
Cirurgião Urologista
Especialista em Cirurgia Robótica
Referência nacional em urologia robótica com foco em inovação e excelência no cuidado ao paciente.
Saiba mais
Thiago Hirano
Engenheiro
Fundador Synapse
Engenheiro e fundador pela empresa Synapse.